
Mood & Mental Health
After a Trauma, Your Kids Need You
Hundreds of children visit Carilion's Emergency Department each year. In this article: Pediatric trauma ranges from vehicle crashes and house fi...
Lisa Apfel, MDPediatric Neurosurgery"In pediatric neurosurgery, our commitment is to provide compassionate and precise care, ensuring each child's unique needs are met with expertise, empathy, and unwavering dedication to their well-being."

Visualase MRI-guided laser ablation is a minimally-invasive surgical option to remove targeted body tissue. The Visualase MRI-guided laser ablation system consists of a small laser catheter that delivers light energy to the target area. As that light is delivered, the temperature in the target area begins to rise and is observed under real-time MRI imaging — allowing the neurosurgeon precise control of the ablation.

Chiari decompression surgery removes bone at the back of the skull to widen the foramen magnum and create space for the brain. The goals of surgery are to control the progression of symptoms, relieve compression and restore the normal flow of cerebrospinal fluid (CSF).

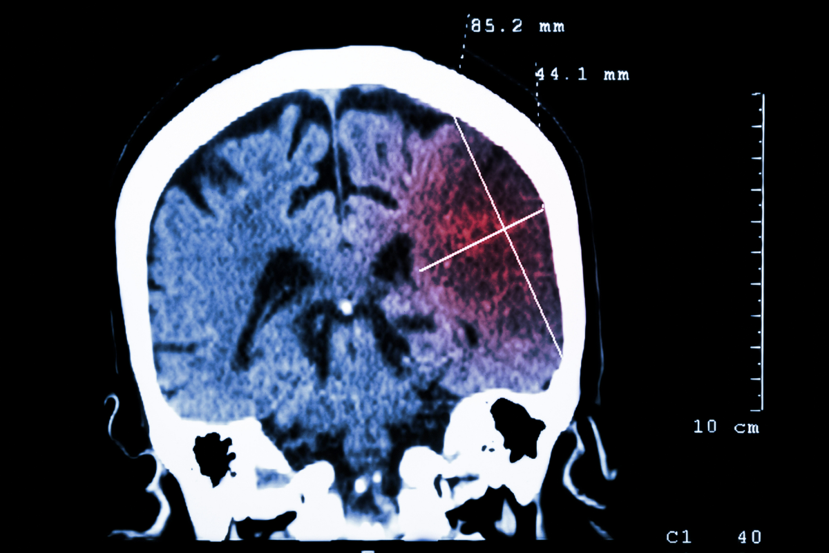
Brain tissue dysfunction caused by a growing tumor may cause other symptoms, depending on the tumors location. Most brain tumors in infants and children require surgical removal, or at least a biopsy, as part of the treatment.

A shunt is a flexible tube placed into the area of the brain where cerebrospinal fluid (CSF) is accumulating. The purpose of the shunt is to remove the excess fluid which causes increased pressure within the brain. In pediatric patients, fluid accumulation can lead to many adverse effects including increased irritabilities, chronic headaches, learning difficulties and visual disturbances.

A lumbar puncture is a procedure to collect fluid from around the spinal cord. A lumbar puncture, also called a spinal tap, is done using a needle. Our neurosurgery team will insert the needle between two bones in the lower back and draw out some of the fluid that surrounds the brain and spinal cord. This fluid is called cerebrospinal fluid. The fluid goes to a lab where it is tested for cancer cells.

Epileptic seizures result from irregular activity of brain cells called neurons. The type of surgery needed depends on the location of the neurons that start the seizure and the age of the person having the surgery. Types of surgery include Laser Interstitial Thermal Therapy (LITT), Deep Brain Stimulation, Corpus Callosotomy, Hemispherectomy and Functional Hemispherectomy (children).

Visualase MRI-guided laser ablation is a minimally-invasive surgical option to remove targeted body tissue. The Visualase MRI-guided laser ablation system consists of a small laser catheter that delivers light energy to the target area. As that light is delivered, the temperature in the target area begins to rise and is observed under real-time MRI imaging — allowing the neurosurgeon precise control of the ablation.

Chiari decompression surgery removes bone at the back of the skull to widen the foramen magnum and create space for the brain. The goals of surgery are to control the progression of symptoms, relieve compression and restore the normal flow of cerebrospinal fluid (CSF).

Brain tissue dysfunction caused by a growing tumor may cause other symptoms, depending on the tumors location. Most brain tumors in infants and children require surgical removal, or at least a biopsy, as part of the treatment.

A shunt is a flexible tube placed into the area of the brain where cerebrospinal fluid (CSF) is accumulating. The purpose of the shunt is to remove the excess fluid which causes increased pressure within the brain. In pediatric patients, fluid accumulation can lead to many adverse effects including increased irritabilities, chronic headaches, learning difficulties and visual disturbances.

A lumbar puncture is a procedure to collect fluid from around the spinal cord. A lumbar puncture, also called a spinal tap, is done using a needle. Our neurosurgery team will insert the needle between two bones in the lower back and draw out some of the fluid that surrounds the brain and spinal cord. This fluid is called cerebrospinal fluid. The fluid goes to a lab where it is tested for cancer cells.

Epileptic seizures result from irregular activity of brain cells called neurons. The type of surgery needed depends on the location of the neurons that start the seizure and the age of the person having the surgery. Types of surgery include Laser Interstitial Thermal Therapy (LITT), Deep Brain Stimulation, Corpus Callosotomy, Hemispherectomy and Functional Hemispherectomy (children).

Our skilled team of neurosurgeons, neurologists and other specialists work collaboratively to diagnose and treat patients of all ages.

State-of-the-art expertise in treating brain tumors, spinal disorders, cancers, vascular issues and other complex neurological conditions.

1st in VA to offer deep brain stimulation for epilepsy; and 1st in VA to implant a Vagal Nerve Stimulator for depression treatment.

Regional leader in neurosurgical research and clinical trials.

Our skilled team of neurosurgeons, neurologists and other specialists work collaboratively to diagnose and treat patients of all ages.

State-of-the-art expertise in treating brain tumors, spinal disorders, cancers, vascular issues and other complex neurological conditions.

1st in VA to offer deep brain stimulation for epilepsy; and 1st in VA to implant a Vagal Nerve Stimulator for depression treatment.

Regional leader in neurosurgical research and clinical trials.
Learn about your diagnosis and symptoms
Carilion Clinic believes that education empowers patients to take an active role in their health. Patients and families can learn more about medical conditions and healthy living to better care for themselves.
Experts leading the way with
Andjenica Pierre's spina bifida was so severe she could only crawl prior to surgery. Lisa Apfel, M.D., is the neurosurgeon who has given Andjenica and her foster family hope for her future."
Care Team of Andjenica Pierre
, Pediatric Neurosurgery
Our Pediatric Neurosurgery team includes specialists in neurosurgery, neurology, neuroradiology and neuropsychology. Nurse practitioners and other care team members carefully coordinate related tests and appointments to ensure seamless care for our patients.
Contact UsTo schedule an appointment at a Pediatric Neurosurgery location
View All LocationsAccess to Care
Call 540-224-5170