
Mood & Mental Health
The Psychological Impact of Cancer
A cancer diagnosis changes everything. In this article: Both patients and their loved ones can have strong emotional responses to cancer. Worr...
Cara Rogers, DONeurosurgical Oncology"I strive to provide the highest quality, comprehensive care that is compassionate and individualized to the patient while utilizing the most innovative technologies and techniques."
Neurosurgical Excellence Close to Home
Play Video

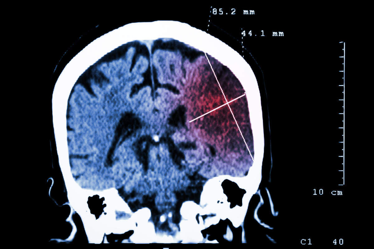
This minimally invasive surgical tool removes hematomas with low tissue disruption, protecting parts of your brain that control speech, memory and vision. The neurosurgeon is able to navigate between the natural folds in the brain and map the exact location of the tumor or blood clot using imaging. Then, through an opening no larger than a dime, the neurosurgeon can remove the clot or tumor from the deepest recesses of the brain without cutting or damaging anything else in its path.

Stereotactic radiosurgery uses many precisely focused radiation beams to treat tumors and other problems in the brain, spine and other parts of the body. It is not surgery in the traditional sense because there's no incision; it uses 3D imaging to target high doses of radiation to the affected area with minimal impact on the surrounding healthy tissue. The procedure works by damaging the DNA of the targeted cells. The affected cells then lose the ability to reproduce, which causes tumors to shrink.

Carilion’s Center for Grief and Healing offers several free support groups related to cancer including Cancer Support and Cancer Caregiver Support. The program offers a caring, safe environment where participants are free to explore their feelings and concerns with others on a similar journey.

Neurosurgeons work closely with interventional radiologists, neurologists, oncologists and staff. Specialists contribute expertise in brain anatomy, skull base pathology, imaging, neurological function and oncological considerations. A collaborative effort ensures comprehensive patient evaluation, precise surgical planning, and optimal postoperative care, leading to improved outcomes.

This minimally invasive surgical tool removes hematomas with low tissue disruption, protecting parts of your brain that control speech, memory and vision. The neurosurgeon is able to navigate between the natural folds in the brain and map the exact location of the tumor or blood clot using imaging. Then, through an opening no larger than a dime, the neurosurgeon can remove the clot or tumor from the deepest recesses of the brain without cutting or damaging anything else in its path.

Stereotactic radiosurgery uses many precisely focused radiation beams to treat tumors and other problems in the brain, spine and other parts of the body. It is not surgery in the traditional sense because there's no incision; it uses 3D imaging to target high doses of radiation to the affected area with minimal impact on the surrounding healthy tissue. The procedure works by damaging the DNA of the targeted cells. The affected cells then lose the ability to reproduce, which causes tumors to shrink.

Carilion’s Center for Grief and Healing offers several free support groups related to cancer including Cancer Support and Cancer Caregiver Support. The program offers a caring, safe environment where participants are free to explore their feelings and concerns with others on a similar journey.

Neurosurgeons work closely with interventional radiologists, neurologists, oncologists and staff. Specialists contribute expertise in brain anatomy, skull base pathology, imaging, neurological function and oncological considerations. A collaborative effort ensures comprehensive patient evaluation, precise surgical planning, and optimal postoperative care, leading to improved outcomes.

Our team of top-rated neurosurgeons and other specialists work collaboratively to diagnose and treat patients from infants to adults. With state-of-the-art technology and leading research, our expert surgeons treat brain tumors, spinal disorders, neurosurgical cancers, movement disorders, endovascular issues and other complex neurological conditions.


Our skilled team of neurosurgeons, neurologists and other specialists work collaboratively to diagnose and treat patients of all ages.

State-of-the-art expertise in treating brain tumors, spinal disorders, cancers, vascular issues and other complex neurological conditions.

1st in VA to offer deep brain stimulation for epilepsy, and 1st in VA to implant a Vagal Nerve Stimulator for depression treatment.

Regional leader in neurosurgical research and clinical trials.

Our skilled team of neurosurgeons, neurologists and other specialists work collaboratively to diagnose and treat patients of all ages.

State-of-the-art expertise in treating brain tumors, spinal disorders, cancers, vascular issues and other complex neurological conditions.

1st in VA to offer deep brain stimulation for epilepsy, and 1st in VA to implant a Vagal Nerve Stimulator for depression treatment.

Regional leader in neurosurgical research and clinical trials.
Learn about your diagnosis and symptoms
Carilion Clinic believes that education empowers patients to take an active role in their health. Patients and families can learn more about medical conditions and healthy living to better care for themselves.
Experts leading the way with
Our Neurosurgical Oncology team includes specialists in neurosurgery, head and neck surgery, sinus and skull base surgery, ENT, neuroradiology, endocrinology or pituitary disorders and radiation oncology. Other care team members carefully coordinate related tests and appointments to ensure seamless care for our patients.
Contact UsYour surgeon will talk to you about your diagnosis, surgical options and answer your questions.
Contact us for a consultation in a location near you!
View All 16 Care Team Members
To schedule an appointment at a Neurosurgical Oncology location
View All LocationsAccess to Care
Call 540-224-5170